Itchy Ears in Cats Aren’t Always Ear Mites — Malassezia May Be the Real Cause

Itchy Ears in Cats Aren’t Always Ear Mites — Malassezia May Be the Real Cause

Itchy Ears in Cats Aren’t Always Ear Mites — Malassezia May Be the Real Cause

“My cat has a lot of dark discharge in the ears and keeps scratching — it must be ear mites!” This is often the first conclusion owners reach when they notice abnormal ear secretions. Many people then purchase ear mite treatments and begin medication without a proper diagnosis.

However, if the underlying issue is not ear mites but instead yeast or bacterial overgrowth, incorrect treatment can allow the condition to worsen over time. Cats may continue to suffer discomfort, while owners become increasingly anxious as symptoms fail to resolve. One commonly overlooked cause is Malassezia yeast. Today, let’s explore the complex relationship between Malassezia and feline ear health.

What Is Malassezia?

Macella Bacteria Diagram

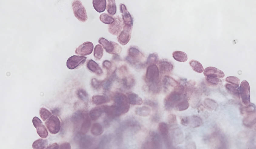
Malassezia is a lipophilic yeast that naturally exists in small amounts on a cat’s skin and in areas such as the external ear canal. Under normal conditions, it coexists peacefully with other microorganisms and does not cause disease. It is considered a conditional pathogen, meaning it only becomes problematic when environmental or health-related factors allow it to multiply excessively.

Malassezia cells are round or oval and reproduce by budding. Several species exist, with Malassezia pachydermatis being the most commonly associated with ear issues in cats. In healthy cats, Malassezia typically accounts for only about 5%–15% of skin fungi and remains in balance with bacteria and other microorganisms.

Why Does Harmless Malassezia Become Harmful?

Malassezia thrives in warm, moist, and oily environments. During humid seasons, such as rainy or poorly ventilated conditions, its proportion on the skin may rise dramatically, sometimes accounting for 50%–70% of surface fungi. This significantly increases the risk of infection. As a result, Malassezia-related skin and ear issues tend to show seasonal patterns, particularly in humid climates, with the ear canal being one of the most commonly affected areas.

Why Do Cats Develop Malassezia Ear Infections?

Ear Microenvironment Factors:

  • Oil production: The external ear canal contains ceruminous glands that produce earwax with an oily component. Since Malassezia is lipophilic, this oil provides an ideal growth medium. Excessive earwax production, such as in hormonal imbalance cases, further promotes yeast overgrowth.
  • Temperature and humidity: The ear canal is naturally warm and enclosed. If moisture increases — for example, after bathing without thorough drying or living in damp environments — Malassezia can multiply rapidly.

Skin Barrier Damage:

  • Physical injury: Scratching, trauma, or foreign objects can damage the ear canal’s protective barrier. Once the skin is compromised, Malassezia can more easily invade deeper tissues.
  • Improper cleaning: Over-cleaning or using harsh ear products may damage the skin barrier. Frequent scraping or alcohol-based cleaners can disrupt natural defenses, allowing yeast to proliferate.

Immune-Related Factors:

  • Systemic health conditions: Cats with weakened immune systems, whether due to chronic illness, viral infections, or poor nutritional status, are less capable of controlling yeast populations.
  • Stress: Environmental stressors such as relocation, prolonged transport, or household changes can alter hormone levels and suppress immune responses, increasing susceptibility to Malassezia overgrowth.

Other contributing factors elsewhere on the body may include food sensitivities, parasite-related reactions, environmental allergens, endocrine disorders, prolonged antibiotic use, genetic predisposition, and immune-related diseases. However, the most common underlying triggers remain humidity, allergies, and reduced immune resilience.

Common Symptoms of Malassezia Infection

Common Symptoms of Malassezia Infection

Malassezia disrupts skin health by breaking down lipids, leading to changes in skin cell structure and increased cell turnover. Because it can exist on many parts of the body, Malassezia may cause dermatitis, nail fold inflammation, paw inflammation, and most commonly, otitis externa.

Malassezia Ear Infections:

Malassezia Ear Infection Symptoms

Typical signs include ear discharge that ranges from moist reddish-brown or dark material to dry, crumb-like debris. Many owners mistake this for ear mites. Affected cats often scratch their ears intensely, leading to hair loss, redness, excessive oil secretion, flaking, or even open wounds. Secondary infections may develop if the condition progresses.

Because the clinical appearance closely resembles ear mite infestation, visual inspection alone is not sufficient for diagnosis. Additional testing is required to determine the true cause.

Treatment and Prevention

The general treatment approach for Malassezia ear infections is simple but requires consistency and patience: cleaning combined with appropriate antifungal therapy.

Gentle ear cleaning using veterinary-approved ear cleansers helps remove excess wax and debris, reducing the environment that supports yeast growth. Antifungal medications may then be applied as directed by a veterinarian. With proper care and adherence to treatment, most cats respond well and experience significant relief.

Conclusion

Not all itchy ears in cats are caused by ear mites. Malassezia yeast is a common and often overlooked contributor to feline ear problems. Accurate diagnosis, proper cleaning, and targeted treatment are essential for effective management. With appropriate care, most cats recover well and maintain healthy ears long term.

Comments (50)
Commenter Avatar
Pet Lover
June 16, 2025 Reply

Great article! Very informative for pet owners.

Commenter Avatar
Cat Parent
June 16, 2025 Reply

Thank you for sharing this helpful information!

Share Your Thoughts